ПЕРСОНА ДЕНТ
Санкт Петербург
ул. Ефимова, д.6
пр. Просвещения д.30
Большой пр. П.С. д. 92
Ежедневно
с 9:00–21:00

Ортодонт

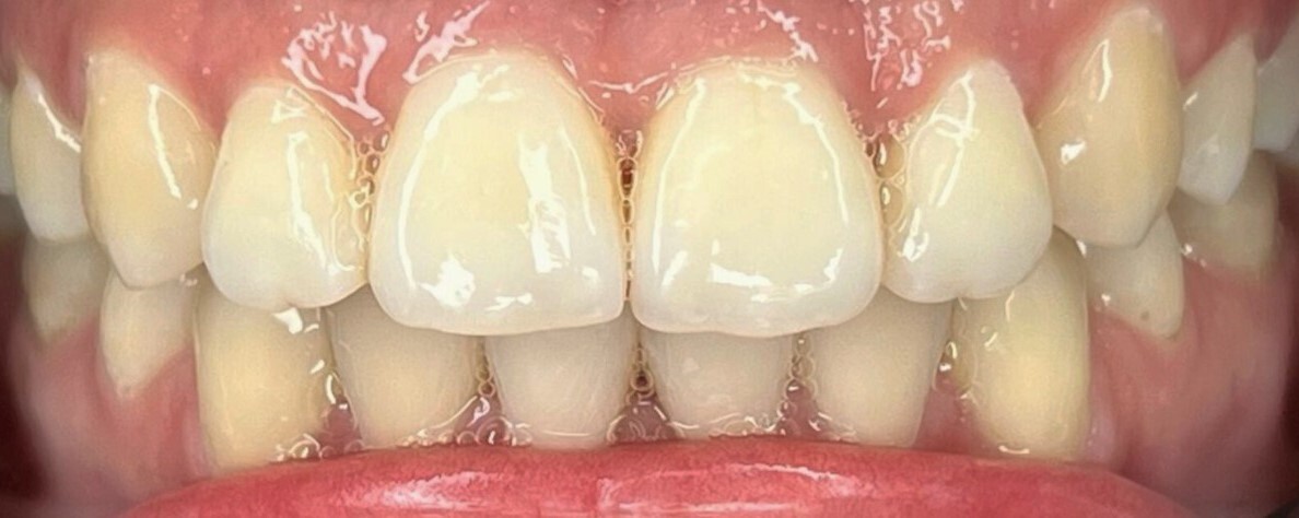
УСТАНОВКА БРЕКЕТОВ
В Санкт Петербурге

Создали более 3000 красивых улыбок
Ровные зубы
за 6-18 месяцев
Методики лечения
на любые случаи и бюджеты
Беспроцентная рассрочка
на 4 месяца
Бесплатная консультация*
опытного ортодонта
*консультация бесплатная при заключении договора на лечение
качественно —
не значит дорого!
Брекеты у нас стоят ровно столько, сколько необходимо для лечения по европейским стандартам качества.

Наша главная задача — провести лечение «раз и навсегда», а не принять как можно больше пациентов.
О себе: Считаю своей главной задачей обеспечить каждому пациенту индивидуальный подход и добиться наилучших результатов в короткие сроки!
Работаем строго по европейским протоколам лечения, гарантирующим стабильные долгосрочные результаты. Никакой экспериментальной медицины. Здоровье пациентов важнее всего!
Работаем с инновационным оборудованием
Лавров Михаил Андреевич
Стоматолог ортодонт

Что будет, если вы запишетесь на приём прямо сейчас?

Вас примет опытный ортодонт и проведёт профессиональный осмотр и диагностику на 3D сканере "3SHAPE"
В ближайшие дни мы проведём всестороннюю диагностику
Врач с опытом 500+ изменений прикусов

2 приём

Во время второго приёма вы получите несколько лечения
под любой бюджет, которые будут отличаться:

Видами брекетных систем
Общей продолжительностью лечения

1 приём

Установим брекеты и дадим рекомендацию по уходу за ними
Относимся к максимальным вниманием к каждому случаю. Индивидуальный подход помогает добиться лучшего результата
Уже на третьем приёме установим брекет-систему
Время установки до 1,5 часов

Дадим рекомендации по уходу

Импортные материалы

Индивидуальный подход

3 приём

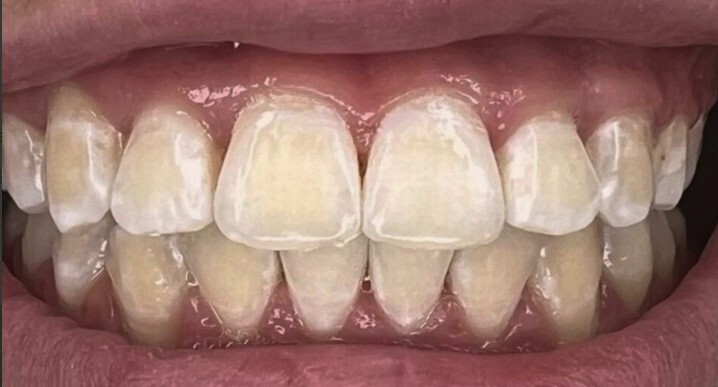
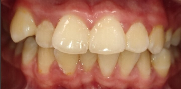
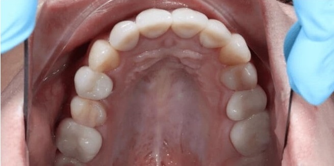
Наши работы:

До приема:
До приема:
До приема:
До приема:
Что было сделано:
Что было сделано:
Что было сделано:
Что было сделано:
Результат:
Результат:
Результат:
Результат:
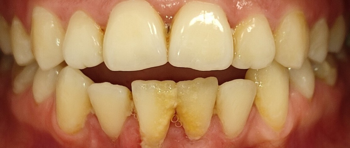
Пациентка девушка 16 лет
Обратилась с проблемой скученности зубного ряда
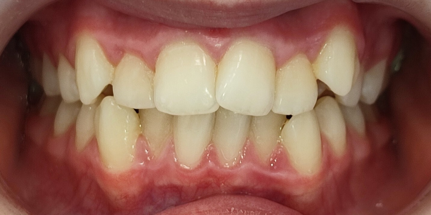
Пациент 14 лет, обратился с жалобой на неровные зубы

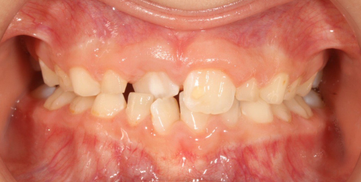
Пациент 7 лет
Маму пациента беспокоило неровное прорезывание переднего зуба
С помощью брекет-системы проведено расширение зубных рядов и выровнена скученность зубов
После лечения зубов была проведена фиксация брекет-системы, выравнивание верхних и нижних зубов, улучшение контактов между ними.
После лечения зубов была проведена фиксация брекет-системы, выравнивание верхних и нижних зубов, улучшение контактов между ними.

Фиксация частичной брекет-системы на верхнюю челюсть и съемного расширяющего аппарата на нижнюю челюсть
Ровные зубы, красивая широкая улыбка, радостная пациентка
Улыбка равномерно и гармонично смотрится, зубные ряды ровные, прикус правильный. Это сохранит зубы здоровыми на долгие долгие годы.
Улыбка равномерно и гармонично смотрится, зубные ряды ровные, прикус правильный. Это сохранит зубы здоровыми на долгие долгие годы.
Создано место для прорезывания постоянных зубов, выровнено положение центральных резцов и улучшено смыкание челюстей
Пациент 14 лет, обратился с жалобой на неровные зубы
Врач: Степанова Анастасия Олеговна
Врач: Степанова Анастасия Олеговна
Врач: Степанова Анастасия Олеговна
Врач: Степанова Анастасия Олеговна
С момента первого обращения
в персона дент вы в надежных руках
Проводить лечение будут ведущие ортодонты Санкт Петербурга
Учимся у лучших и готовим поколение профессионалов
Регулярное повышение
квалификации врачей
Ежедневный контроль
качества главврачом
своё внутреннее обучение сотрудников для лечения по международным протоколам (стандартам). Этого не преподают в институтах РФ
несколько раз в год отправляемых врачей
на обучающих курсов от лидеров стоматологии внутри страны или заграницу
планов лечения, результаты фотофиксации (в том числе при ортодонтическом лечении) и многое другое

Стоматолог-ортодонт
стаж более 7 лет
Степанова Анастасия Олеговна
Стоматолог-ортодонт
стаж более 8 лет
Лавров Михаил Андреевич
Стоматолог-ортодонт
стаж более 7 лет
Дубинина Юлия Алексеевна
=
Запишитесь на консультацию за 1000₽
0₽*
Предложение действительно только при записи на прием через сайт
*консультация бесплатная при заключении договора на лечение
5
4,9
4,5
4,9
4,9
4,6
А отзывы — наша награда и вдохновение двигаться дальше, развиваться
и помогать
Мы любим дарить улыбки и менять жизнь людей к лучшему!
Прочитайте отзывы посетителей на независимых ресурсах
Ждём вас в нашей
стоматологии!
Ежедневно: 9:00-21:00
Санкт-Петербург, ул. Ефимова, д.6
Санкт-Петербург, пр. Просвещения д.30, корп.1, литер А
Санкт-Петербург, пр-кт Большой П.С., д.92, литер Б


Имеются противопоказания, необходима консультация специалиста.
Приводим пациентов  —
«DIADA»
Комплексное сопровождение клиник
Лицензия: № Л041-01108-38/01048023
Сайт не является публичной афертой
Made on
Tilda